Denture

義歯

義歯

義歯

歯を失ったときの主な治療法として、「ブリッジ」「インプラント」「入れ歯(義歯)」があります。中でも最もよく知られており、比較的短期間で治療が終わるのが入れ歯治療です。

入れ歯治療は、1本の歯からお口のなか全体まで、幅広い範囲の修復が可能です。大きく分けて「総入れ歯」と「部分入れ歯」の2種類がありますが、現在では、それぞれに材質や特徴が異なる様々な入れ歯が開発されています。

\ こんなお悩みありませんか? /自分にピッタリな歯にしたい!

今使用している入れ歯が合わない

今使用している入れ歯が合わない

今使用している入れ歯が合わない
食べ物が食べづらい

食べ物が食べづらい

食べ物が食べづらい
入れ歯の部分だけ悪目立ちする

入れ歯の部分だけ悪目立ちする

入れ歯の部分だけ針金が目立っていて、見た目が悪い。
うまく喋れない

うまく喋れない

うまく喋れない

ながた歯科クリニックの義歯(入れ歯)って何が良い?

  • 装着時の不快感が少ないです(金属床)
  • 見た目の美しさにこだわることができます
  • 食べ物の温度を感じられます(金属床)
  • 噛みごたえが回復します
ながた歯科クリニックのホワイトニングって何が良い?

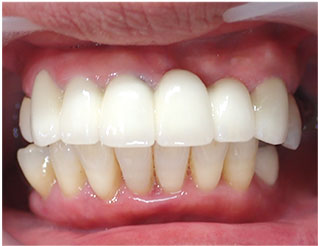
BEFORE&AFTER

準備中です
症例1
ブリッジ
実績
矢印
実績

PRICE

片側部分義歯(1~2歯)

通常価格
150,000(税込)〜
※症例により価格は変動いたします

上もしくは下の総義歯

通常価格
500,000(税込)〜
※症例により価格は変動いたします

CONTACTお問い合わせはこちら