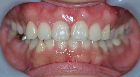
"審美歯科"で
あなたのきれいを取り戻す
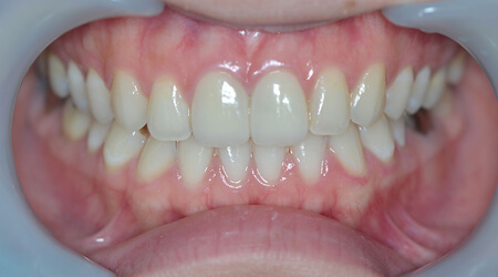
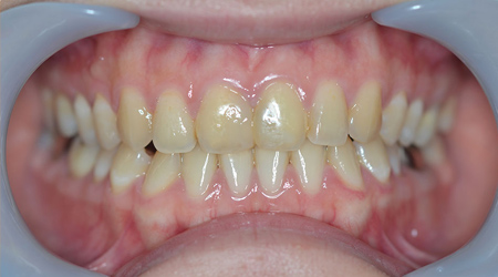
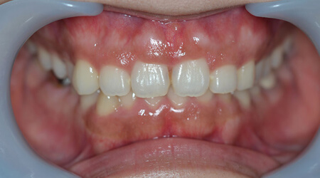
このようなお悩みありませんか?

朝霞台にあるながた歯科クリニックは、地域密着型の歯科医院であり、審美歯科やホワイトニング、義歯など幅広い診療を提供しています。患者の笑顔を引き出すことに力を入れ、信頼と実績のあるクリニックとして地域の方々に支持されています。最新の設備や技術を取り入れ、患者一人ひとりに合わせた丁寧な治療を行っています。歯のトラブルでお悩みの方はぜひ一度、ながた歯科クリニックをご利用ください。
2025年 7月 22日更新